Vanwege een landelijke storing zijn wij momenteel telefonisch slecht bereikbaar. Mocht het niet lukken om ons telefonisch te bereiken, dan kunt u een e-mail sturen naar info@tandartsbakx.nl. Wij proberen zo snel mogelijk contact met u op te nemen. Onze excuses voor het ongemak.

tandenknarsen

voorkom slijtage

Tandenknarsen is een veel voorkomend fenomeen bij zowel volwassenen als kinderen. Bij tandenknarsen schuiven de tanden en kiezen krachtig heen en weer, vaak gebeurd dit ‘s nachts. Over het algemeen is tandenknarsen onschuldig, maar als dit over een lange periode blijft aanhouden kan uw gebit gaan slijten. Zelf vaststellen of uw tandenknarst is lastig, maar een tandarts kan u dit meestal wel met zekerheid vertellen.

 

Bij tandartspraktijk Bakx helpen we u graag! Samen kijken we naar uw situatie en mogelijke behandelingen om zo tot een passende oplossing te komen. We leggen u uit wat een behandeling inhoudt, wat de oorzaken en gevolgen zijn, en de kosten hiervan.

Tandartspraktijk Bakx tandarts
Tandenknarsen Tandartspraktijk Bakx

Oorzaken van tandenknarsen

Waarom iemand tandenknarst is lastig te bepalen. Er zijn een aantal factoren die gekoppeld kunnen worden aan tandenknarsen. Zo zijn stress, slaapstoornissen, drugs, roken, alcoholgebruik en bepaalde medicijnen gekoppeld aan tandenknarsen. Ook heeft het centrale zenuwstelsel invloed op de kauwspieren, die u gebruikt tijdens het tandenknarsen. Meestal zijn er meerdere factoren die de oorzaak zijn van tandenknarsen. 

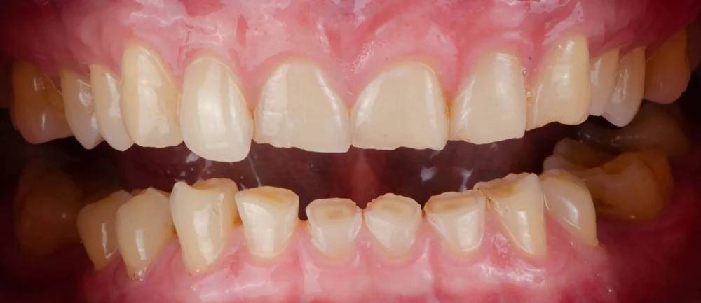
gevolgen van tandenknarsen

Langdurig en intensief tandenknarsen kan tot negatieve gevolgen leiden. Door tandenknarsen kan bijvoorbeeld het glazuur, het beschermlaagje van uw tanden, afslijten. Zo wordt u gevoeliger voor bijvoorbeeld gaatjes. Ook kunt u uw gebit beschadigen met bijvoorbeeld het barsten of afbreken van tanden. Ook kunnen uw tanden los gaan zitten door overbelasting van het steunweefsel van de tanden, ten gevolgen van het harde duwen op de tanden. Andere mogelijke klachten ten gevolgen van tandenknarsen zijn: hoofdpijn, nek- en schouderklachten, vermoeidheid, gespannen/ pijnlijke kaak(spieren) en een slechte nachtrust.

Gevolgen tandenknarsen
Behandelen tandenknarsen

Behandelen van tandenknarsen

Ten eerste moet er vastgesteld worden of u tanden knarst. Hiervoor kun u een bezoek brengen aan een van onze tandartsen, die u met zekerheid kunnen zeggen of dit het geval is.

 

Dan gaat de tandarts met u op zoek naar de oorzaak, waarvanuit er gezocht kan worden naar een oplossing. Een mogelijke oplossing is een opbeetplaat. Dit is een plaat die tussen uw tanden en kiezen geplaatst wordt, ze beschermd tegen slijtage en ervoor zorgt dat uw spieren zich meer ontspannen. Ook kan een kaakfysiotherapeut u helpen om uw kaakklachten te verminderen. Deze kan u ontspanningsoefeningen meegeven en uw kaak masseren waardoor uw spieren ontspannen. Indien nodig, kan er ook een psycholoog ingeschakeld worden. Deze kan u helpen met bijvoorbeeld het omgaan van stress, om een bepaalde oorzaak bij de bron aan te pakken.

 

Zoals u misschien doorheeft zijn er veel verschillende scenario’s mogelijk. Maak een afspraak met een van onze tandartsen om persoonlijk advies te ontvangen zodat u weet waar u aan toe bent.

behandeling bij tandarts bakx

Denkt u dat u last heeft van tandenknarsen, of merkt u dit in uw gebit of kaak? Bij Tandartspraktijk Bakx helpen we u er graag vanaf. Wij kijken samen met u naar de oorzaken en kunnen u op basis daarvan voorzien van een passend advies. Neem contact met ons op via het contact formulier, kom langs of bel ons op. Dan zorgen we er samen voor dat u een mooi en gezond gebit behoudt!

Tandartspraktijk Bakx behandelen

Wat vinden
Onze patiënten

Van Tandarts bakx

image

Periodiek mondonderzoek

Voorkom problemen in de mond door regelmatig op controle afspraak te komen.

arrowLees meer
image

Ontstoken tandvlees

Als u bij het tandenpoetsen pijn aan uw tandvlees ervaart, kan het zijn dat u last heeft van ontstoken tandvlees.

arrowLees meer
image

Tandsteen verwijderen

Wanneer u tandsteen heeft, kunt u dit niet zelf verwijderen, hiervoor heeft u een tandarts of mondhygiënist nodig.

arrowLees meer
image

Gaatje vullen

Het is belangrijk om een gaatje zo snel mogelijk te laten vullen om verdere ontstekingen te voorkomen.

arrowLees meer
image

Facings

Met facings kunt u de vorm en kleur van uw gebit veranderen, door bijvoorbeeld afgebroken stukken of spleetjes te vullen.

arrowLees meer

Contact